Orthodontic Treatment
Orthodontic Treatment
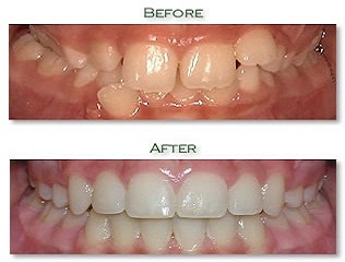
The history of orthodontics has been intimately linked with the history of dentistry for more than 2000 years.Dentistry, had its origins as a part of medicine. According to the AAO (American Association of Orthodontists), archaeologists have discovered mummified ancients with crude metal bands wrapped around individual teeth.Malocclusion is not a disease, but abnormal alignment of the teeth and the way the upper and lower teeth fit together. The prevalence of malocclusion varies, but using orthodontic treatment indices, which categorize malocclusions in terms of severity, it can be said that nearly 30% of the population present with malocclusions severe enough to benefit from orthodontic treatment
Tooth extraction is usually relatively straightforward, and the vast majority can be usually performed quickly while the individual is awake by using local anesthetic injections to eliminate painful sensations. Local anesthetic blocks pain, but mechanical forces are still vaguely felt. Some teeth are more difficult to remove for several reasons, especially related to the tooth's position, the shape of the tooth roots and the integrity of the tooth. Dental phobia is an issue for some individuals, and tooth extraction tends to be feared more than other dental treatments like fillings. If a tooth is buried in the bone, a surgical or trans alveolar approach may be required, which involves cutting the gum away and removal of the bone which is holding the tooth in with a surgical drill. After the tooth is removed, stitches are used to replace the gum into the normal position.
